
シャイニングピールは、「アクションⅡ」という最新のフラクショナルレーザーを使用して治療です。当院では主に毛穴の開き、ニキビ、ニキビ跡の治療に用いています。
フラクショナルレーザー(アクションⅡ)は、従来のターゲット全面へのレーザー照射と異なり、点状にレーザービームを照射するレーザーになります。
アクションⅡは、フラクショナルレーザーの中でも治療効果と安全性・ダウンタイムが考慮された最新のレーザー機器になります。

アクションⅡは患者様に優しいレーザーです
アクションⅡは、ターゲット組織を繊細に蒸散し、凝固層がほとんどできません。
- 周辺組織への熱損傷が少ない(炎症後色素沈着のリスク・赤み期間の軽減)
- 傷の治りが早い(治癒期間が短い)
- 痛みが少なく、麻酔を使用せずに治療も可能
そのため、ダウンタイムが短くなり、治療が受けやすく、継続しやすいという患者様に優しいレーザーです。
ActionⅡエルビウムヤグレーザー

熱の拡散が少なく痛みも最小限、発赤などダウンタイムが短い
一般的なCO2レーザー

熱の拡散が非常に大きいため、かなり発赤が長く続く
シャイニングピール(シャイニングピールハンドピース)
シャイニングピールは、14mmスポットのハンドピースを用いて行います。
従来のピーリングは、皮膚表面の古くなった角質層を剥離することで、新しい皮膚を再生させる治療方法でした。これは治療後に紫外線などによる色素沈着が起こりやすいというリスクが伴いました。
シャイニングピールは、レーザーエネルギーを皮膚(真皮層)に加えることで、コラーゲン生成を誘導する新しいピーリング治療です。
施術後も皮膚外層があるので、紫外線などによる色素沈着のリスクがありません。

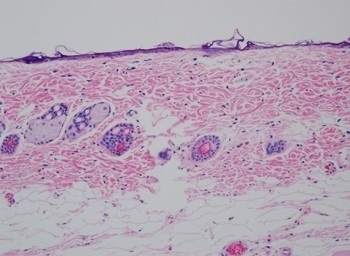
シャイニングピール治療【照射直後】
表皮にダメージを与えず、真皮層に熱エネルギーを届けた皮膚組織

フラクショナル治療
微細に蒸散され、蒸散されている皮膚組織
症例
ニキビ&ニキビ跡治療

ニキビ跡治療

毛穴治療

【リスク・副作用】発赤、熱感
治療料金
| 顔全体 | 1回 | 15,000円 |
|---|